Treatment Gallery
Empower Your Smile!
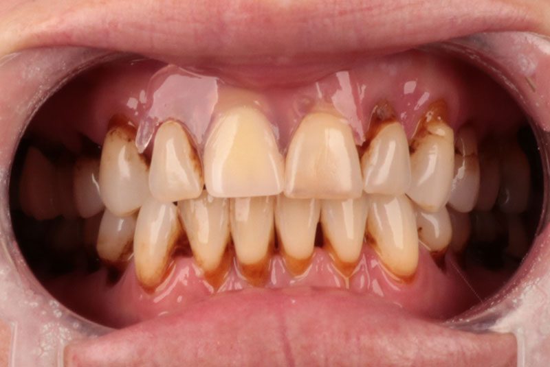
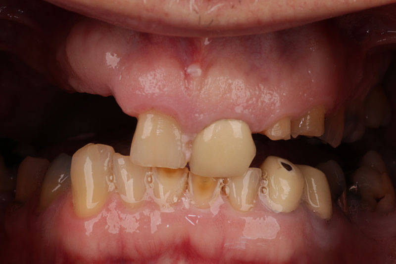
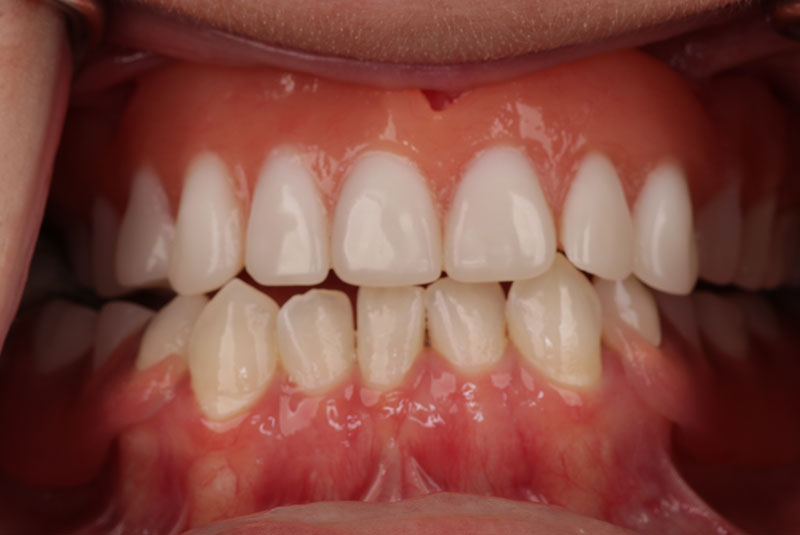
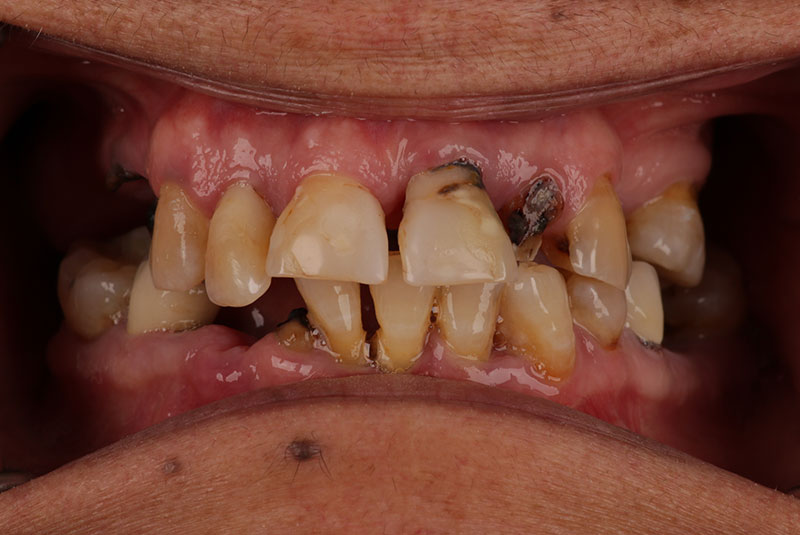
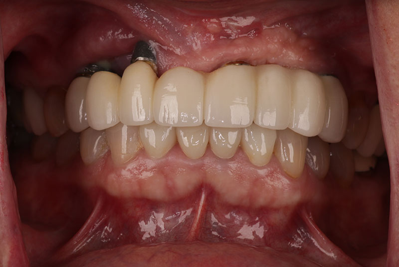
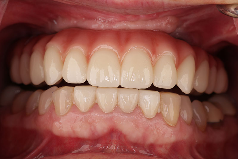
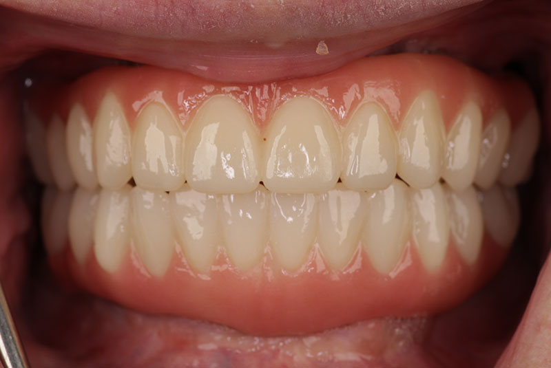
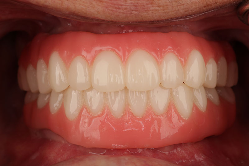
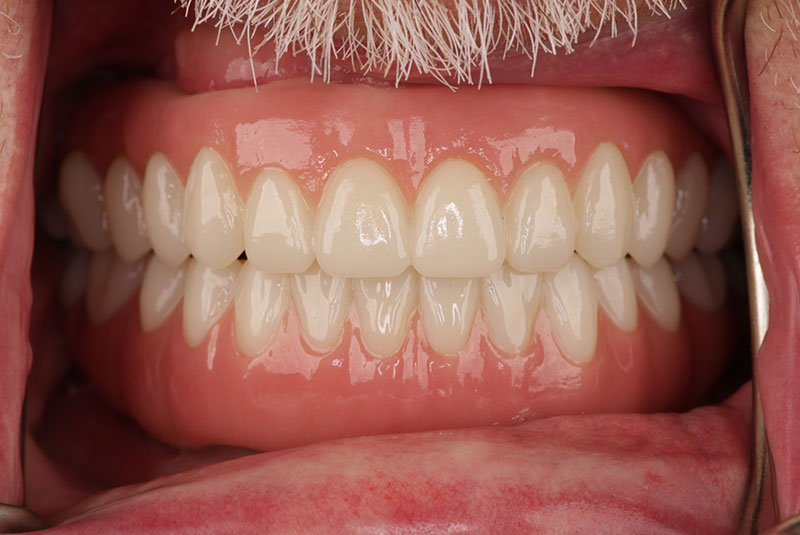
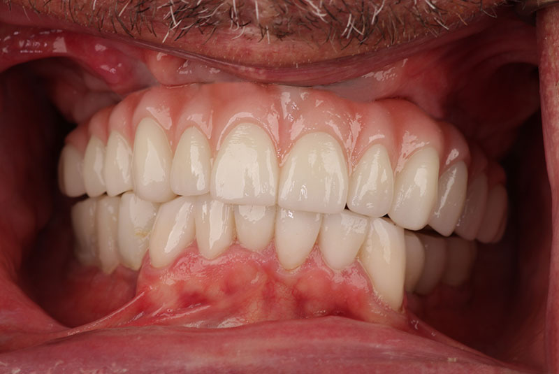
We provide wonderful results at Dental First, as shown in our before and after dental gallery. Now is the time to book your appointment.






Book An Appointment
Book your appointment today for a perfect smile!
